
鲁网10月30日讯晚期肺腺癌,双肺弥漫转移,头颅MRI扫描,脑内布满“炸弹”,基因检测,又陷入盲区绝境,七旬老人,生命告急!……
近期,70岁的李先生(化名)在家人的搀扶下,步履蹒跚地来到北京大学人民医院青岛医院肿瘤科找到庄兴俊主任。持续1个多月胸闷憋气、头晕恶心、日渐消瘦,加上1天前突发意识模糊,让整个家庭瞬间被恐慌笼罩。

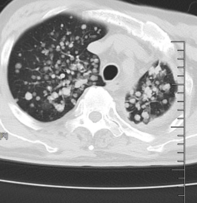
△原发性肺癌伴双肺弥漫多发转移瘤
庄兴俊主任给患者安排了胸部CT,检查结果很快传来:
🚫原发性肺癌伴双肺弥漫多发转移瘤
🚫双肺胸膜弥漫增厚
🚫纵隔淋巴结也已被肿瘤侵犯
🚫肺部成了肿瘤蔓延重灾区

△颅内密密麻麻分布着转移灶,最大的有核桃大
大财配资-大财配资官网-专业配资炒股-股票配资论坛在哪里找提示:文章来自网络,不代表本站观点。